반응형
탈장은 장기나 조직이 복벽의 약한 틈으로 돌출된 상태를 말하며, 종류에 따라 증상과 위험이 크게 다릅니다. 오늘은 **탈장의 대표 유형**인 서혜부(inguinal), 대퇴(femoral), 배꼽(umbilical), 복부 절개부(incisional), 횡격막(hiatal) 탈장까지 유형별 **증상, 응급 신호, 치료법**을 2,500자 이상으로 자세히 정리했습니다.
1. 탈장이란 무엇인가?



- 탈장은 **복강 장기가 근육이나 조직의 틈을 통해 돌출**되는 병변으로, 일반적으로 **복벽 약화** 또는 **내압 증가**가 원인입니다 :contentReference[oaicite:1]{index=1}.
- 대표 유형으로는 **서혜부, 대퇴부, 배꼽, 절개부, 횡격막 탈장** 등이 있으며, 종류에 따라 위치와 증상이 다릅니다 :contentReference[oaicite:2]{index=2}.
2. 서혜부(inguinal) 탈장



- 가장 흔한 탈장으로, **허벅지 가까운 서혜부**에 장기나 조직이 돌출됩니다 :contentReference[oaicite:3]{index=3}.
- 주요 증상:
- 서혜부에 **만져지거나 보이는 덩어리**, 서 있거나 기침 시 뚜렷해지고 누우면 줄어듭니다 :contentReference[oaicite:4]{index=4}.
- 통증 또는 둔한 불편감, 압박감 또는 당기는 느낌 등이 나타납니다 :contentReference[oaicite:5]{index=5}.
- 남성의 경우 고환 부위로 방사되는 통증이나 붓기, 여성은 둔한 골반 압박감이 나타날 수 있습니다 :contentReference[oaicite:6]{index=6}.
- 급성 증상: 통증이 심해지고 빵빵해지며, 구역·구토가 동반된다면 **교액(incarceration)**이나 **교착(strangulation)** 의심, 즉시 응급 진료가 필요합니다 :contentReference[oaicite:7]{index=7}.
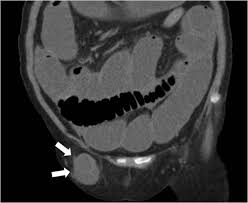
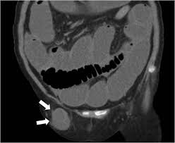
3. 대퇴부(femoral) 탈장



- 서혜부 아래쪽, **대퇴관(femoral canal)**을 통해 돌출되며, 주로 **여성에게 호발**합니다 :contentReference[oaicite:8]{index=8}.
- 증상:
- 허벅지 고관절부 근처에 작은 **볼록한 덩어리** 발생
- 줄었다 나타나거나 초기 통증은 약하지만, 진행되면 구역·구토·장폐색 증상 가능 :contentReference[oaicite:9]{index=9}.
- 응급 가능성이 높아, 통증·붓기 + 장폐색 또는 피부변색 등 동반 시 즉시 응급실 방문해야 합니다 :contentReference[oaicite:10]{index=10}.
4. 배꼽(umbilical) 탈장



- 제대(탯줄) 부위가 약해지며 장기 일부가 돌출됩니다 :contentReference[oaicite:11]{index=11}.
- 주요 증상:
- 배꼽 부분의 **볼록한 혹**, 특히 기침하거나 힘 줄 때 커지고 누우면 줄어듭니다.
- 보통 통증은 없지만, 압박 또는 불편감이 있을 수 있습니다.
- 대부분 양성이나, **성인에서 돌출이 크거나 통증 동반되면 수술 고려**해야 합니다 :contentReference[oaicite:12]{index=12}.
5. 절개부(incisional/ventral) 탈장



- 이전 복부 수술 절개선 부위가 약해져 장기가 돌출됩니다 :contentReference[oaicite:13]{index=13}.
- 증상:
- 절개선 부위의 **붓기, 불편감, 통증**
- 기침, 힘 줌, 물건 들기 시 악화
- 증상이 지속되거나 커질 경우 **복강경 또는 재수술**이 필요할 수 있습니다.
6. 횡격막(hiatal) 탈장



- 위의 한 부분이 **횡격막 열공을 통해 흉강으로 들어가는 현상**으로, 증상은 주로 **소화기 관련**입니다 :contentReference[oaicite:14]{index=14}.
- 증상:
- 가슴 타는 듯한 통증(속쓰림, 역류), 숨 참, 속쓰림·만성 기침 등이 동반될 수 있습니다 :contentReference[oaicite:15]{index=15}.
- 중증 GERD 동반 시 약물 또는 수술적 교정이 필요할 수 있습니다.
7. 증상 비교 요약표
| 탈장 유형 | 위치 | 주요 증상 | 응급 신호 |
|---|---|---|---|
| 서혜부 | 서혜부(사타구니) | 덩어리, 당김, 통증 | 교착 시 붓기·구토·통증 급증 |
| 대퇴부 | 허벅지 위쪽 | 작은 덩어리, 둔한 통증 | 붓기+폐색 증상 시 응급 |
| 배꼽 | 배꼽 중심부 | 배꼽 팽창, 불편감 | 성인에서 통증·커짐 시 수술 고려 |
| 절개부 | 복부 수술흉터 | 흉터 부위 돌출·통증 | 증상 심하면 재수술 필요 |
| 횡격막 | 흉강·복강 경계 | 속쓰림, 흉부 불편, 기침 | GERD 심하면 치료 필요 |
8. 탈장 응급 신호



- 탈출된 부위가 돌아가지 않고 단단해지는 경우(irreducible/incarcerated)
- 극심한 통증, 붓기, 붉은 피부, 열감
- 구토·복통·변비·배변 불능 → 교착 및 장폐색 가능성
- 피부가 보라색 또는 검게 변하는 경우(ischemia/strangulation): 즉시 응급실
9. 자가 진단 & 예방법
- 거울 앞 서서 기침·힘주기 전/후 **탈출 여부 확인**
- 불편감, 압박감 테스트: 눌렀을 때 덩어리가 들어가는지 확인
- 복압 증가 유발 요소(체중관리, 만성 기침, 무거운 물건 들기 피하기)
- 복부 근력 강화: 코어운동, 걷기, 수영 등
- 흡연·비만·변비 해결로 예방 가능
10. 치료 옵션



- 보존적 관리: 초기 소형 탈장은 지켜볼 수 있으나 지속적 불편 시 수술 권장 :contentReference[oaicite:16]{index=16}.
- 수술적 치료:
- 열린 절개 방식: 전통 방식
- 복강경 / 로봇 보조 수술: 회복이 빠르고 통증이 적음 :contentReference[oaicite:17]{index=17}.
- 메쉬 보강 재건: 재발률 감소
- 응급 수술 필요 시: 교착·교착·괴사가 의심 시 즉시 수술적 개입 필수 :contentReference[oaicite:18]{index=18}.
📌 핵심 요약 버튼
📌 진단·수술 가이드
✅ 요약 정리
- 탈장은 서혜부, 대퇴, 배꼽, 절개부, 횡격막 등 다양한 부위에서 발생합니다.
- 핵심 증상은 **덩어리 출현**, 기침·힘줄 때 악화, 통증·압박감입니다.
- 응급 신호 포함 시 즉시 병원 방문해야 합니다.
- 자가 진단과 예방이 가능하며, 보존적·수술적 치료로 대응할 수 있습니다.
- 복강경 수술 및 메쉬 보강은 재발 위험을 줄이는 효과적인 방법입니다.
반응형