반응형



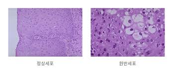
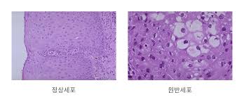
반응성 세포변화(reactive cellular change)는 자궁경부 세포검사(Pap smear)에서 염증, 자극, 감염 등으로 인해 세포에 일시적인 변화가 나타나는 것을 의미합니다. 이는 암 전단계 세포 변화가 아닌, 비정형이 아닌 정상 범주의 변화입니다.
📌 반응성 세포변화의 주요 원인



- 질염, 자궁경부염 등 염증성 질환
- 성관계, 질 세정, 질 내 제품 사용 등 물리적 자극
- 호르몬 변화 (폐경기, 임신 등)
- 바이러스성 감염 (HPV 동반 가능성 있음)
🔍 반응성 세포변화의 의미



- 대부분 비정상 세포는 아니며, 암 전단계도 아님
- 세포에 경미한 변화가 있을 뿐, 특별한 치료 없이 경과 관찰
- 간혹 HPV와 동반되면 추가 검사 필요
🧪 이후 관리 및 검사 계획



- 단순 염증이 원인인 경우, 염증 치료 후 3~6개월 내 재검사
- 세포 변화가 지속되거나 이상세포가 동반되면 HPV 검사 권장
- 반복적 이상소견 시 ‘질확대경검사(Colposcopy)’ 진행 고려
⚠️ 주의해야 할 상황



- 같은 결과가 2회 이상 반복되는 경우
- HPV 양성 동반 또는 고위험군일 때
- 기타 비정형 세포(ASC-US, AGC 등)가 함께 나올 경우
📊 반응성 세포변화 요약표



| 항목 | 내용 |
|---|---|
| 정의 | 염증 또는 자극으로 인한 일시적 세포 변화 |
| 위험성 | 암 전단계 아님, 대부분 자연 회복 |
| 조치 | 염증 치료 후 재검사, 필요 시 HPV 검사 |
| 권장 | 3~6개월 후 추적 Pap 검사 |



‘반응성 세포변화’는 대부분 걱정할 필요 없는 결과입니다.
하지만 정기적인 검진과 정확한 추적 관찰은 꼭 필요합니다.
반응형