반응형



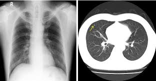
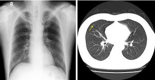
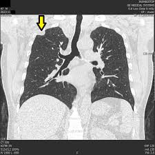
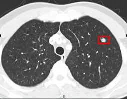
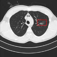
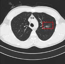
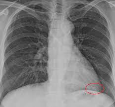
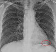
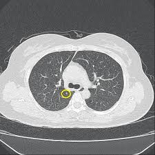
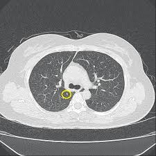
폐결절(pulmonary nodule)은 폐 안에 지름 3cm 이하의 작은 덩어리나 불투명 부위로, 흉부 X‑선이나 CT 검사에서 우연히 발견되는 경우가 많습니다. 대부분은 무증상이며, 양성인 경우가 많지만 일부는 악성(암)일 수 있어 주기적인 관찰이 필요합니다.
🔍 폐결절의 주요 원인



- 감염성 그라뉼로마 (결핵, 진균 감염 등): 폐결절의 약 80% 차지
- 비감염성 염증 (사르코이드증, 자가면역 질환 등)
- 양성 종양 (햄아르토마, 지방종 등)
- 악성 종양 (비소세포폐암, 전이암 등)
- 섬유화 반흔 또는 흉터 (이전 염증이나 수술 후)
📋 폐결절의 증상



- 작은 결절은 대부분 무증상
- 크거나 기도 근처에 위치한 경우 기침, 객혈, 호흡곤란, 흉통 등이 나타날 수 있음
- 원인이 암일 경우 체중 감소, 피로, חוז복 감염 등 동반 가능
🔎 폐결절 진단 절차



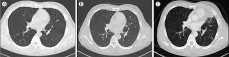
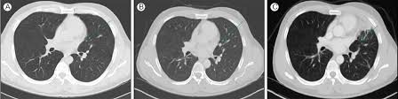
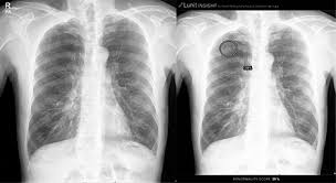
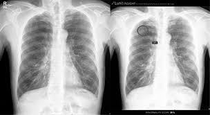
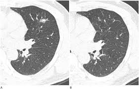
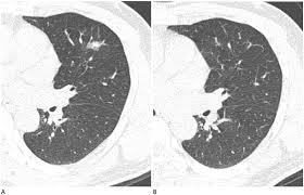
- 흉부 X‑선 또는 흉부 CT로 발견
- 이전 영상과 비교하여 결절의 변화 여부 확인
- 결절 크기·형태·경계·석회화 여부 등 특징 분석
- 의심되는 경우 PET-CT 스캔 또는 조직 생검 시행
📆 폐결절 관리·추적 가이드라인



- 6mm 이하의 작은 결절은 정기적 CT 추적 관찰
- 6~8mm는 6~12개월 내 재촬영, 변화 없으면 18~24개월 후 재검
- 8mm 이상 또는 위험 소견 시 3개월 내 CT, PET-CT 또는 생검 고려
- 1cm 초과 결절은 암 가능성 높아 즉시 조직 검사 권장
🩺 폐결절 치료 방법



- 감염에 의한 결절은 항생제나 항진균제 치료
- 양성 종양(햄아르토마 등)은 증상 없으면 경과 관찰
- 악성 결절인 경우 수술, 영상치료, 항암치료 등 치료 시행
✅ 폐결절 관리 팁 요약



| 항목 | 포인트 |
|---|---|
| 크기 | 6mm 이하·변화 없으면 경과 관찰 |
| 모양 | 경계 불분명·spiculated 경계는 위험↑ |
| 성장 | 크기 증가 시 조직 검사 필요 |
| 석회화 | 석회화 있으면 양성 가능성↑ |
| 추적 | Fleischner Society 기준에 따라 CT 추적 |
폐결절은 흔히 발견되며 대부분 양성이지만, 크기·형태·해부학적 변화는 반드시 주기적으로 확인해야 합니다. 도움이 필요하면 의사와 상담하세요.
반응형