반응형
고관절 수술(고관절 전치환술, 인공관절 치환술 등)은 말기 관절염, 골절, 골수 괴사 등 다양한 원인으로 시행됩니다. 수술 후 회복 기간은 수술 방식, 환자 상태, 재활 병행 여부에 따라 다르지만, 일반적으로 3개월~1년 정도 소요됩니다. 본 포스트에서는 수술 종류, 회복 단계, 재활 프로그램, 주의사항, 일상 복귀 팁을 2,500자 이상으로 상세하게 안내합니다.
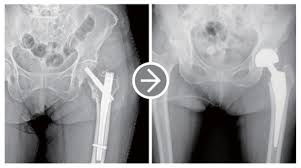
1. 고관절 수술의 종류



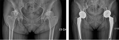
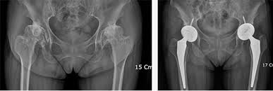
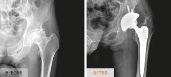
- 고관절 전치환술(Total Hip Arthroplasty, THA): 골관절염이나 류마티스 관절염, 골절 등에 널리 사용되는 방식으로, 관절 전체를 인공 관절로 교체합니다.
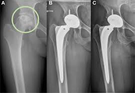
- 반치환술(Hemiarthroplasty): 대퇴골 두부 골절 등 특정 상황에 고관절 반만 인공으로 바꿔주는 방식입니다.
- 부분 치환술(Core Decompression 등): 골수 괴사 초기에 시행되며, 병변 부위만 최소 침습적으로 치료합니다.
2. 회복 기간을 결정하는 요인



- 수술 방식(전치환술 vs 반치환술 vs 부분 치환술)
- 환자 나이 및 기저 질환 유무(당뇨, 심혈관·신장 질환 등)
- 수술 전 활동 수준·체중·근력 상태
- 수술 후 통증 조절, 감염 여부, 영양 상태
- 재활치료의 참여도 및 단계별 운동 진행
3. 회복 단계별 기간 & 목표
| 단계 | 기간 | 주요 목표 |
|---|---|---|
| 즉시 이후 (수술 후 0–2일) | 병원 입원 내부 | 통증 조절, 폐 기능 유지(심호흡), 하체 움직임 시작 |
| 초기 회복 (수술 후 3–14일) | 입원 후일~퇴원 | 보행기/목발 보조 보행, 퇴원 준비, 일상 활동 시작 |
| 중기 회복 (수술 후 2–6주) | 외래 중심 | 근력 강화, 관절 가동, 유연성 유지, 독립 보행 목표 |
| 후기 회복 (수술 후 6주–3개월) | 자가 재활 + 외래 | 일상 활동 복귀(계단, 장보기, 일부 취미) |
| 장기 회복 (수술 후 3–12개월) | 완전 회복까지 | 보통 활동 복귀, 골프·수영 등 저충격 운동 가능 |
4. 수술 직후~초기 회복(0–14일)의 핵심 팁



- 통증 조절: 진통제, 항염제 투여
- 폐 합병증 예방: 심호흡, 가벼운 상체 움직임 가능
- 하체 순환 유지: 발목 펌프운동(발목 굽혔다 폈다)
- 체중 부하 조절: 퇴원 전 목발 또는 보행기 안전 연습
- 상처 감염 체크: 발적, 고름, 열 등 주의
5. 중기 회복(2–6주) – 운동 중심 재활



- 물리치료: 재활 전문가의 보행 훈련, 근력운동
- 관절 가동 범위 확대: 무릎 들어올리기, 엉덩이 돌리기 운동
- 근력 강화: 엉덩이, 대퇴부, 코어 중심의 저항 운동
- 일상 활동: 앉기, 일어서기, 걷기 등 독립 보행 연습
6. 후기 회복(6주–3개월) – 일상 복귀 & 통증 관리



- 가벼운 가사 활동, 계단 오르내리기 연습
- 저충격 운동 시작: 실내 자전거, 수영, 걷기
- 근력·유연성 향상을 위한 체중 저항 운동 지속
- 통증·부종·움직임 이상 여부 모니터링
7. 장기 회복(3–12개월) – 안전한 완전 복귀



- 스포츠나 취미활동 재개: 골프, 클라이밍, 하이킹 등
- 지속적인 근력 유지는 필수
- 인공관절 마모 예방을 위해 무리한 활강, 점프 등은 피하세요
- 정기 검진: 엑스레이 또는 CT로 인공관절의 상태 확인
8. 통증ㆍ부종 감소를 위한 팁
- 얼음찜질: 하루 수차례 15분씩 적용
- 높이기: 다리 아래 쿠션을 대어 정맥 순환 개선
- 압박스타킹: 부종 완화에 도움
- 체중 관리: 부하를 줄이는 적정 체중 유지
9. 합병증 및 주의 신호



- 상처 부위 발적, 열, 농, 심한 통증은 ‘감염’ 의심
- 다리 쑤심·심한 부기·열감 등 ‘심부정맥 혈전증(DVT)’ 가능성
- 걷기 시 심한 통증 또는 삐걱거리는 소리는 전문가 상담 필요
10. 일상 복귀 팁 & 생활 수칙
- 신발 선택: 미끄럼 방지 있고 발목 고정된 신발
- 앉을 때: 무릎보다 엉덩이를 높게, 깊이 앉지 않도록 주의
- 침실 환경: 층층대로 쉽게 오르내리지 않도록 구조 조정
- 실내 정리: 통행로에 장애물 없도록 유지
📌 요약 정리



- 고관절 수술 후 회복은 보통 3개월~1년까지 걸립니다.
- 0–2일: 통증 조절 & 하체 움직임 시작
- 2–6주: 재활 운동 & 독립 보행 목표
- 6주–3개월: 일상 복귀 & 저충격 운동
- 3–12개월: 스포츠 복귀 & 인공관절 유지 관리
반응형